Kur dhëmbët flasin për shëndetin e gjithë trupit??
Shumica e njerëzve e lidhin shëndetin e dhëmbëve vetëm me larjen e tyre dhe me vizitat te dentisti. Megjithatë, gjithnjë e më shumë studime dhe qasje alternative në mjekësi po theksojnë se goja është një pasqyrë e rëndësishme e shëndetit të përgjithshëm të organizmit. Shpesh, problemet dentare nuk lidhen vetëm me higjienën, por edhe me ushqimin, mënyrën e jetesës dhe gjendjen e përgjithshme të trupit.
Shumë persona thonë se, po t’i kishin ditur më herët disa nga këto njohuri, sot ndoshta do të kishin shumë më pak mbushje apo ndërhyrje dentare.

A mjafton vetëm larja e dhëmbëve?
Larja e dhëmbëve është një hap thelbësor për higjienën orale, por ajo nuk është gjithmonë e mjaftueshme për të parandaluar prishjen e tyre. Një faktor shumë i rëndësishëm është ekuilibri i pH-së në gojë, i cili ndikohet drejtpërdrejt nga ushqimet që konsumojmë.
Kur organizmi ndodhet në një gjendje më acidike, pështyma humbet aftësinë për të mbrojtur smaltin e dhëmbëve. Kjo krijon një mjedis më të favorshëm për bakteret që shkaktojnë karies dhe dëmtime të tjera dentare.
Prandaj, shumë specialistë rekomandojnë një dietë më të balancuar me më shumë perime, fruta të freskëta dhe ushqime që ndihmojnë në ruajtjen e ekuilibrit të organizmit.

Roli i ushqimit në shëndetin e dhëmbëve
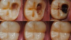
Ushqimet e përpunuara, të pasura me sheqer apo niseshte, mund të ndikojnë negativisht në shëndetin e gojës. Brumërat dhe ushqimet e pasura me karbohidrate të rafinuara krijojnë një mjedis ku bakteret shumohen më lehtë.
Këto baktere prodhojnë acide që dëmtojnë smaltin e dhëmbëve dhe me kalimin e kohës mund të çojnë në prishje, inflamacion të mishrave të dhëmbëve apo probleme me rrënjën e dhëmbit.
Kur rrënja e dhëmbit inflamohet
Infeksionet në rrënjën e dhëmbit janë një nga problemet më të zakonshme dentare. Ato mund të shoqërohen me dhimbje, ënjtje apo ndjeshmëri të madhe.
Përveç trajtimit profesional te dentisti, disa njerëz përdorin edhe metoda ndihmëse në shtëpi për të përmirësuar higjienën orale. Gargara me ujë të kripur, propolis apo disa vajra natyralë përdoren shpesh si metoda tradicionale për të ndihmuar në uljen e inflamacionit dhe në mbajtjen e gojës më të pastër.
Megjithatë, ekspertët theksojnë se këto metoda nuk mund të zëvendësojnë trajtimin profesional dentar kur infeksioni është i rëndë.
Mikrobet e gojës dhe roli i ksilitolit
Në gojë jetojnë qindra lloje bakteresh. Një prej tyre është Streptococcus mutans, i cili konsiderohet një nga shkaktarët kryesorë të kariesit.
Disa produkte si ksilitoli, një ëmbëlsues natyral, mendohet se ndihmojnë në reduktimin e aktivitetit të këtij bakteri, sepse ai nuk mund ta përdorë ksilitolin si burim energjie. Për këtë arsye, shumë çamçakëzë pa sheqer përmbajnë këtë përbërës.
Metodat natyrale për kujdesin oral
Në vitet e fundit është bërë shumë popullor edhe një ritual i quajtur “oil pulling”, që konsiston në shpëlarjen e gojës me vaj kokosi, vaj susami apo vaj të farës së zezë për disa minuta.
Mbështetësit e kësaj metode besojnë se ajo ndihmon në reduktimin e baktereve dhe në përmirësimin e shëndetit oral. Edhe pse disa studime kanë treguar efekte pozitive në higjienën e gojës, specialistët rekomandojnë që kjo metodë të përdoret vetëm si shtesë, jo si zëvendësim i pastrimit të rregullt të dhëmbëve.
Lidhja mes dhëmbëve dhe organeve të trupit
Një ide interesante që diskutohet shpesh në mjekësinë alternative është lidhja midis dhëmbëve dhe organeve të ndryshme të trupit. Sipas kësaj teorie, çdo dhëmb lidhet me një meridian energjetik që komunikon me një organ të caktuar, si zemra, veshkat apo stomaku.
Edhe pse kjo qasje nuk është plotësisht e pranuar nga mjekësia konvencionale, disa studiues pranojnë se infeksionet kronike në gojë mund të ndikojnë në shëndetin e përgjithshëm, duke rritur inflamacionin në trup dhe duke ndikuar në sistemin imunitar.
Kujdesi për dhëmbët është kujdes për gjithë trupin
Në fund të fundit, shëndeti i gojës është pjesë e pandarë e shëndetit të përgjithshëm. Një dietë e balancuar, higjiena e rregullt orale dhe kontrolli periodik te dentisti mbeten mënyrat më të sigurta për të ruajtur dhëmbë të shëndetshëm për shumë vite.
Sepse, siç thonë shpesh specialistët: goja është porta e organizmit – dhe çdo gjë që ndodh aty mund të ndikojë në gjithë trupin.

